![]()
近日,我院神经外科团队为一名70余岁老年男性患者,成功实施3D打印微创穿刺抽吸血肿手术,术后效果立竿见影,赢得患者家属高度认可。
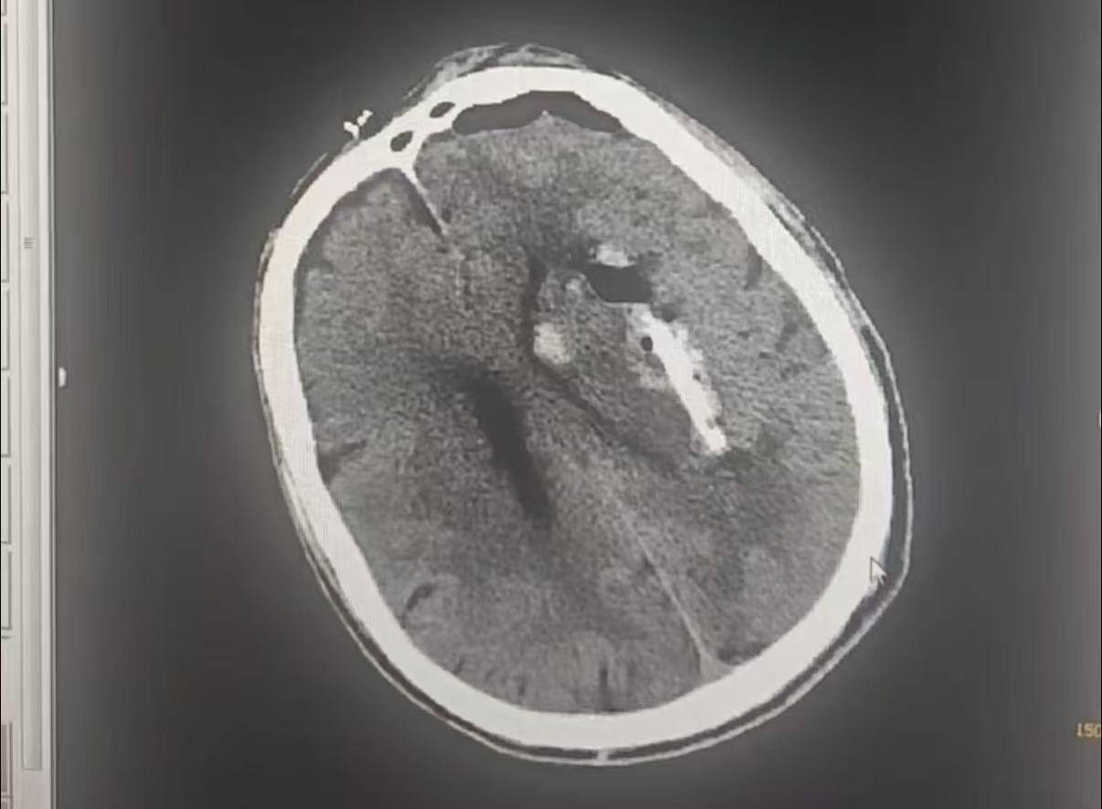
据悉,该患者为老年男性,因颅内血肿就诊,病情危急且基础情况复杂。考虑到患者年龄大、基础疾病较多,无法耐受传统开颅手术的创伤,科室团队经过缜密评估,决定采用3D打印微创穿刺抽吸血肿技术,为患者制定个性化诊疗方案。
手术过程精准高效,凭借3D打印技术对血肿位置、形态的精准定位,穿刺路径规划科学合理,有效减少了手术创伤,整个手术时长大幅缩短,最大程度降低了手术风险。
今日下午复查结果显示,患者恢复情况良好,疗效远超预期!目前,患者意识障碍较术前明显减轻,肢体活动障碍症状显著好转,无任何新增阳性体征,生命体征平稳,正在逐步康复中。患者家属看到治疗效果后十分满意,对科室团队的专业技术和精心护理表达了诚挚感谢。

(术前)

(术后)
3D打印微创穿刺抽吸血肿技术作为一项精准微创诊疗技术,具备三大核心优势,为特殊患者群体带来福音:
创伤极小:无需开颅,仅通过精准穿刺完成血肿抽吸,对患者机体损伤小,术后恢复快,有效减少并发症风险。
时长更短:依托3D打印技术精准定位,简化手术流程,大幅缩短手术时间,为急症患者争取宝贵救治时间。
适配广泛:特别适用于老年患者、基础疾病较多、身体条件差无法耐受开颅手术的颅内血肿患者,拓宽了诊疗范围。
目前,我院该科室已能成熟开展3D打印微创穿刺抽吸血肿技术,标志着科室在颅内血肿精准诊疗领域迈上新台阶,为区域内脑血管疾病患者提供了更安全、高效、优质的医疗服务选择。